Why Are Fewer People Getting Appendicitis?
881.642
2:18
Large Fecolith Radiopaedia Cases In Radiology
121
1:25
Ultrasound Video Showing Fecolith In Appendix.
1.565
4:43
Are Mes Of Formed In The Due To
143.102
1:46
Ultrasound Of Acute Appendicitis With A Fecolith
320
2:11
The Diagnosis Of Acute Appendicitis With Fecolith...
1.195
4:31
Inflamed Appendix With Ith In Its Interior.
1.263
7:49
Chronic Impaction In Colon Severe Constipation 3D...
16.006
0:09
Dilated Appendix With A Fecolith
296
2:59
The Scanning Of The Inflamed Appendix With...
1.148
7:13
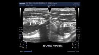
Ultrasound Video Showing An Inflamed Appendix...
647
2:14
Ultrasound Video Showing Inflamed Appendix With...
1.256
4:14
Git Er Acute Abdomen Acute Perforated...
770
5:21
Appendicitis With A Fecolith
354
1:11
1.016
1:52
Acute Appendicitis With Fecolith
93
0:41
18
0:12
52
0:26
Ultrasound Video Showing A Case Of Appendicitis...
820
7:39
How Appendicitis Happens Appendix Symptoms -...
6.411.447
0:29
Ultrasound Video Showing Inflamed Appendix With A...
874
3:07
13
0:20
Severe Impaction In Colon Hardened Stool Blockage...
6.803
Appendix With Fecolith How To Report
26
2:43
Inflammed Appendix With Fecolith
27
1:16
Acute Appendicitis With Fecolith Seen In Appendix...
9
0:25
Fecolith Appendicoliths Appendicitis Rif Pain
156
5:20
Intestinal Perforation With Cholelithiasis.
1.213
3:32
Follow Up Case Of Faecolith L Impaction L Gobar...
15.778
1:01
Scanning And Focusing Of Inflamed Appendix With...
1.663
5:22
Ultrasound Video Showing Faecolith In The Appendix
522
0:50
Brain-Like Impaction Severe Constipation In 3D
34.734
Ultrasound Of Fecolith In Appendix
183
0:56
Ruptured Appendix Due To Fecolith With...
358
1:20
Brain-Like Stool Impaction Severe Constipation 3D
1.484
The Silent Stone That Could Ruin Your Report...
162
1:13
Acute Subhepatic Appendicitis With Fecolith
80
0:35
Yellow Impaction In Colon Severe Constipation 3D...
34.733
Eck72Hr201811Appendix Ith
68
0:47